Thanks to dental crowns it is possible!
All our dental crowns are made by our accredited cosmetic dentist with 11 years of experience, who has treated and helped thousands of patients to achieve a beautiful and healthy smile. Dental crowns are made in our specialized dental laboratory directly at the clinic in Piestany.


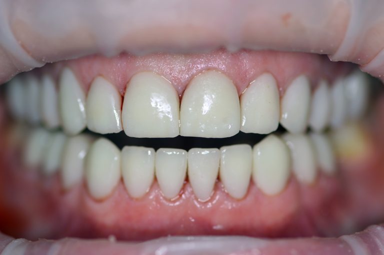
Many patients coming to our dental clinic have a dream of a new and beautiful smile. Mrs. Zela had problems with damaged tooth enamel and crooked teeth. Dr. Kafka, the main dental surgeon at Smile Clinic Bratislava, recommended treatment with dental crowns.
Mrs. Zela’s treatment included 23 dental crowns in total. To meet the patient’s wish to have “nice, straight and natural teeth”, we fit E-Max dental crowns onto her front teeth – 8 crowns on the top and 8 crowns on the lower jaw. We recommend E-Max dental crowns to patients mainly for front teeth because of their high aesthetic appeal. On the teeth in the back of her mouth, Mrs. Zela now has all-ceramic zirconium crowns.
Dental crown treatment can be completed within one longer visit or in two short visits with two to three weeks in between them.
Mrs. Zela’s teeth were reshaped under local anaesthesia, so the patient felt no discomfort during the procedure. After reshaping, the doctor took the impressions of her newly shaped teeth. Thanks to these our dental technicians in the laboratory can make perfectly fitting dental crowns. While waiting for these permanent dental crowns, Mrs. Zela, like every patient, was provided with free temporary dental crowns. After the second part of the procedure, Mrs. Zela left Smile Clinic Bratislava with long-lasting dental crowns that she can enjoy with her family and friends.
If you are interested in a free dental quote from us, please do not hesitate to contact us.